SPIBO Marketplace is Live Now – Where Buyers meet the Best Vendors. Explore now...

Company Profile

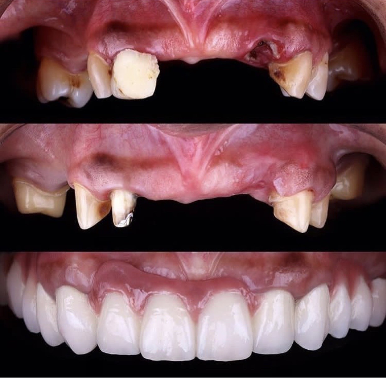
The Smile World - Advanced Dental Care

The Smile World - Advanced Dental Care

[email protected]

9428418111

204, Hamony Icon, Nr. Baghban Party Plot, Zydus Hospital Road, Hebatpur, Ahmedabad - 380059 Ahmedabad

https://www.thesmileworld.in/

About Us

At our clinic, we believe that a healthy smile starts with the right diagnosis. Our team of specialist dentists ensures that every treatment is tailored to your unique needs, providing expert care with precision and excellence. We offer a full range of advanced dental services, including dental implants, smile designing, clear braces, dental braces, root canal treatment, wisdom tooth removal, a

Business Categories

Beauty & Personal Care (2)

Service Categories

Medical & Healthcare Services (4)

2000

Served Clients